Микроскопические изменения клеток связаны с быстрым ростом рака в жестких тканях
По данным Всемирной организации здравоохранения, только в 2022 году рак был диагностирован у более чем 20 миллионов человек, и почти 10 миллионов умерли от этой болезни. Хотя масштабы рака огромны, ответ на более эффективные методы лечения может скрываться в микроскопической клетке.
Статья, опубликованная лабораторией Lele Lab под руководством аспирантов факультета биомедицинской инженерии Техасского университета A&M Самера Заде и факультета химической инженерии Тин-Чин Вана, раскрыла новые подробности о механизме прогрессирования рака .
В статье, опубликованной в журнале Nature Communications, исследуется влияние механического усиления жесткости среды опухолевой клетки на структуру и функцию ядра.
«Рак оказался сложным для лечения заболеванием. Он чрезвычайно сложен, и молекулярные механизмы, которые способствуют прогрессированию опухоли, не изучены», — сказал доктор Танмей Леле, совместный преподаватель кафедр биомедицинской инженерии и химической инженерии. «Наши результаты проливают новый свет на то, как жесткость опухолевой ткани может способствовать пролиферации опухолевых клеток».
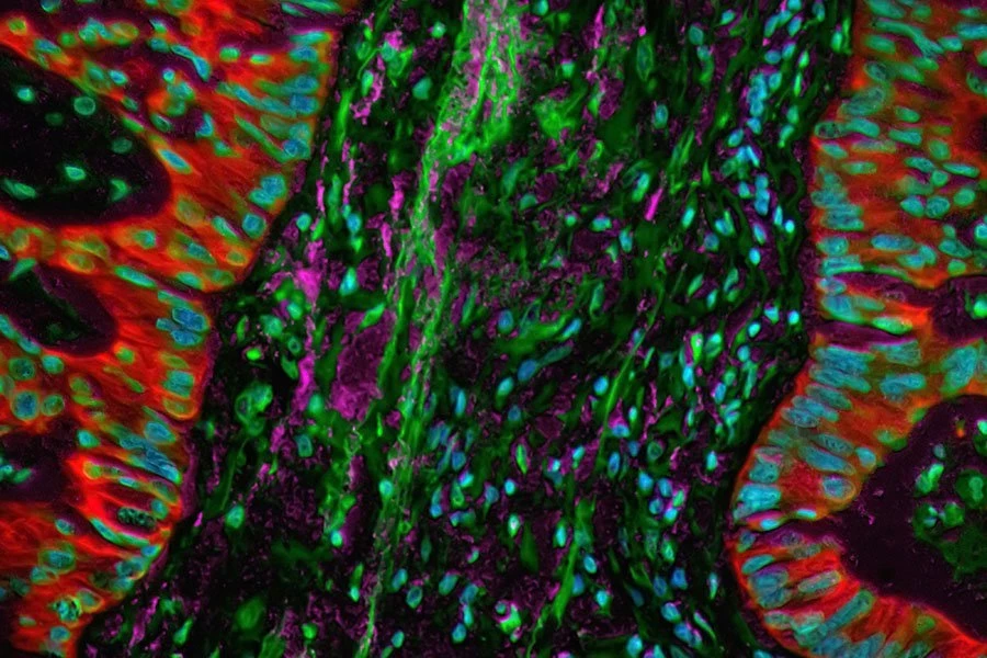
В статье исследователи раскрывают, что когда клетка сталкивается с жесткой средой, ядерная пластинка — каркас, который помогает ядру сохранять свою форму и структуру — становится гладкой и упругой, когда клетка растягивается на жесткой поверхности. Это растягивание заставляет yes-ассоциированный белок (YAP), белок, который регулирует размножение клеток, перемещаться в ядро.
Такая локализация может вызывать повышенную пролиферацию клеток, что может объяснять быстрый рост раковых клеток в жесткой среде.
«Способность жестких матриц влиять на ядерное напряжение и регулировать локализацию YAP может помочь объяснить, как опухоли становятся более агрессивными и, возможно, даже устойчивыми к лечению в жестких тканях», — сказал Заде.
Эти результаты основаны на предыдущем открытии Леле, что ядро клетки ведет себя как капля жидкости. В этой работе исследователи обнаружили, что белок в ядерной пластинке, называемый ламином A/C, помогает поддерживать поверхностное натяжение ядра. В последнем исследовании было обнаружено, что снижение уровня ламина A/C снижает локализацию YAP, в свою очередь, уменьшая быструю пролиферацию клеток.
«Белок ламин A/C играет здесь ключевую роль — его уменьшение сделало клетки менее восприимчивыми к жесткости окружающей среды, в частности, влияя на локализацию ключевого регуляторного белка (YAP) в ядре», — пояснил Заде.
Несмотря на кажущуюся сложность и узкую специализацию, Заде и Леле полагают, что более широкое применение их открытия может помочь в разработке будущих методов лечения рака.
«Раскрытие того, как жесткость матрицы управляет ядерными изменениями и регулирует ключевые пути, такие как сигнализация YAP, открывает дверь для разработки методов лечения, нацеленных на эти механические пути», — пояснил Заде. «Лекарства или методы лечения могут быть разработаны для смягчения опухолевой среды, нарушая физические сигналы, которые помогают раковым клеткам процветать. Ламин A/C и связанная с ним ядерная механика могут стать мишенями для лечения рака».
В дальнейшем лаборатория Леле намерена изучить, в какой степени их открытия применимы к опухолям, полученным от пациентов.
			
			Обсудим?
		
	
	Смотрите также:
	